뇌혈관센터

뇌경색·뇌출혈·일과성 뇌허헐발작·뇌동맥류·뇌혈관 기형·경동맥협착증

  • 소개
  • 진단 및 치료
  • 의료진 소개
뇌혈관센터 이미지

 

전 세계 인구의 6명 중 1명은 뇌졸중 경험
뇌졸중 초기대응, 늦으면 돌이킬 수 없습니다.
나사렛국제병원 뇌혈관센터는 365일 24시간 뇌졸중 및 뇌동맥류 파열 등
급성기 뇌혈관질환 환자를 위해 신경외과,신경과,영상의학과,
응급의학과가 긴밀한 협조 하에 최첨단 치료를 제공합니다.

 

- 24시간, 365일 응급의료서비스

- 신경과, 신경외과, 영상의학과, 응급의학과, 재활의학과, 한방진료부 협진

- 급성기 치료부터 재활까지 전문적 서비스

뇌혈관 질환

뇌경색
뇌혈관이 동맥경화증 등의 원인으로 막혀 영양분 및 산소를 공급하는 피가 뇌에 통하지 않는 상태를 말합니다.
큰 뇌혈관이 막힐 경우 의식이 떨어지거나 반신마비가 발생하고, 치료시기를 놓칠 경우 사망하기도 합니다.

증상
- 반신마비, 반신 감각 장애(얼굴,팔,다리 한쪽이 안움직여짐
- 언어 장애(실어증),발음 장애, 운동실조(걸을 때 한쪽으로 쏠리거나 넘어짐)
- 시력 장애(갑자기 한쪽 눈이 안보이거나 시야 끝이 어둡게 보임)
- 어지럼증, 두통

뇌출혈
뇌혈관이 터져 발생하는 것이 뇌출혈입니다.
급격한 온도변화로 수축된 혈관이 혈압을 버티지 못해 터지는 경우가 대표적입니다.
갑자기 발생하는 반신마비, 언어장애 등이 주된 증상이지만 출혈의 양이 많은 경우는 의식이 저하되거나 사망할 수도 있습니다.
일과성 뇌허혈발작
일과성 뇌허혈 발작 경험자 중 1/3에서 뇌졸중이 발생합니다. 심하게 좁아진 뇌혈관으로 피가 흐르지 못하다가
다시 흐르거나 뇌혈관이 막혔다가 다시 뚫린 것으로, 잠시 뇌졸중 증상이 왔다가 수 분에서 수 시간 내에 곧 좋아집니다.
아무 일도 없었던 듯이 증상이 갑자기 사라지기 때문에 대부분의 사람들은 이를 넘겨 치료시기를 놓치는 경우가 많습니다.
일과성 뇌허혈 발작은 당장은 심각한 후유증이 없는 것처럼 보여도 앞으로 발생할 뇌졸중의
강력한 경고이므로 가볍게 보아서는 안 됩니다.
뇌동맥류
뇌동맥류란 뇌 속에 있는 동맥 혈관이 정상혈관에 비해 약한 부분이 손상되고 결손이 생기면서
혈관벽이 부풀어오르는 것을 말합니다. 대부분 크기는 10mm 이하이며, 전조 증상은 없습니다.
뇌동맥류 발생의 정확한 원인은 알 수 없지만 혈관벽에 높은 압력이 가해지는 부위에 후천적으로
잘 발생하는 것으로 보고 있습니다.
흡연, 고혈압, 동맥경화, 동맥류에 대한 가족력, 나이, 여성 등이 위험인자가 될 수 있습니다.
뇌혈관 기형
뇌혈관 기형이 있는 부위에서는 뇌혈류가 모세혈관을 거치지 않고 바로 동맥에서 정맥으로 흐르게 됩니다.
이 때 동맥 내의 높은 압력이 바로 정맥으로 전달되어 혈관이 터지기 쉽게 됩니다.
또한 혈류의 통로가 비정상적이기 때문에 혈액 공급이 부족한 뇌조직이 생길 수 있는데 이 부위는
경색이 생기면서 위축될 수 있습니다.
경동맥협착증
경동맥이란 대동맥에서 목을 지나 안면과 두개골 내로 들어가 뇌에 혈액을 공급하는 주된 혈관으로 목의 좌우에 있습니다.
이 경동맥이 여러 가지 원인으로 좁아지거나 막히는 경우를 말합니다.
  • 뇌혈관조영술
  • 뇌혈관종합정밀검사
  • 치료
뇌 혈관센터 이미지

뇌혈관조영술

뇌혈관의 위치, 뇌동맥류, 혈관의 기형,종양 등의 규명과 CT 또는 MR 검사 후 더 구체적인
정보가 필요할 때 시술합니다. 환자의 대퇴동맥을 통해 체외에서 카테터라는 가는 관을 넣고
뇌혈관에 조영제를 주입하고 X선을 촬영하여 뇌혈관의 영상을 직접 보는 검사입니다.

검사 과정

  • 검사 전 준비사항
    음식제한은 없으며 수분 섭취를 증가시키도록 합니다.
  • 검사 전 주의사항
    조개류 요오드 혹은 조영제 알레르기가 있을 때
    조절 되지 않는 고혈압이 있을 때
    신기능이 손상되었거나 출혈장애가 있을 때
  • 검사 후
    카데터를 제거하고 지혈을 위해 천자부위를 압박합니다.
    지혈하는 동안 어지러움증이나 오심,구토,요통 등의 증상이 나타나거나 출혈이 있는 경우 즉시 의료진에게 알려주십시오.
    카데터 삽입부위와 지혈 방법에 따라 절대안정 시간이 달라지며, 출혈이나 혈종 등의 합병증이
    생할 시 안정을 취하는 시간이 길어질 수 있습니다.
    조영제의 배출을 위하여 물울 충분히 마시고 소변을 자주 보는 것이 좋습니다.
    오심이나 구토가 없다면 수분이나 음식 섭취가 가능합니다.

뇌혈관 종합정밀검사

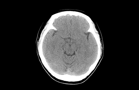
  • 뇌 컴퓨터 단층 촬영술 (CT)
    CT는 검사 시간이 짧으며 안전합니다. 급성기 뇌졸중 초기 치료를 결정하기 위해 가장 먼저 시행되는 검사입니다. 뇌경색의 경우 저음영으로 나타나고, 뇌출혈인 경우 고음영으로 나타납니다.
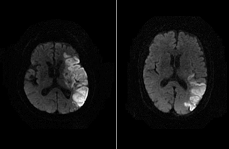
  • 뇌 핵자기 공명술 및 혈관촬영(MRI/MRA)
    MRI/MRA는 CT에서 찾기 힘들 정도의 작은 병변이나 뇌간 부위의 병소를 정확히 찾을 수 있는 장점이 있습니다. 혈관촬영(MRA)은 침습적 방법을 하지 않고도 뇌혈관 상태를 파악할 수 있습니다.
  • 내과적 치료
    혈전용해술 : 중증 뇌졸중 증상 발생 3시간 이내 응급실 도착 시 혈전용해술(혈관을 막은 혈전을 녹여 뚫는 치료법)을 실시합니다.
  • 뇌혈관 중재치료
    스텐트삽입술 : 스텐트삽입술은 혈관 내에 삽입하는 철망을 가르키는 단어로 좁아진 혈관 속에 스텐트를 삽입하여 넓히는 시술입니다.
    풍선확장술 : 뇌혈관조영술을 시행하면서 풍선카테터를 삽입합니다. 삽입된 풍선이 부풀어 막혀있던 동맥벽에 압력을 가하게 되어 좁아진 혈관을 넓혀줍니다.
    뇌혈관중재시술 전후 이미지
    코일색전술 : 전신 마취 혹은 국소 마취 하에 시술을 시행할 수 있습니다. 마취 후 대퇴동맥으로 도관을 넣어 해당 뇌혈관에 위치시킨 후,
    도관 속으로 다시 미세도관을 넣고 동맥류 속에 삽입합니다. 뇌에 생기는 동맥류는 보통 풍선처럼 부풀어 오르다가 터지게 되는데,
    이 풍선처럼 부푼 부분에 백금으로 된 코일을 채워 피가 통하지 않게 하면 터지는 것을 예방할 수 있습니다.
  • 코인색전술 전후 이미지
  • 수술적 치료
    동맥류 결찰술 : 두개골편을 제거하고 뇌 조직 사이에 있는 뇌동맥류를 확보합니다.
    뇌동맥류를 작은 클립으로 묶어 뇌동맥류가 커지거나 뇌출혈이 일어나는 것을 막아줍니다.
    동정맥 기형 색전술 : 뇌혈관 조영술과 같은 방법으로 뇌동맥을 따라 작은 도관을 집어넣은 후
    다양한 색전물질을 이용하여 혈관기형으로 유입되는 동맥의 혈류를 차단하는 방법입니다.
    개두술 및 혈종제거술: 뇌출혈이 발생하면 두개내 혈종이 생성됩니다. 두개골에는 신축성이 없기 때문에 뇌출혈로 인해 두개내압이 상승해
    뇌헤르니아(뇌탈장)을 일으킬 수 있습니다. 신속하게 혈종을 제거하고 두개내압을 낮춤으로써 정상 뇌조직의 추가적인 손상을 최소화합니다.
  • Nasaret International Hospital Docter

    최종원 과장신경외과
    전문진료분야

    뇌혈관 중재치료 (스텐트,코일색전술,혈전제거술),뇌출혈·뇌경색, 뇌동맥류·뇌동정맥기형·경동맥협착, 뇌수두증(뇌수종)·뇌종양,두부외상·신경중환자치료

    구분
    오 전 진료 진료 진료 진료 진료 순환
    오 후 진료 진료 진료 진료 진료

    진료시간은 진료과장님들의 응급수술이나, 시술로 인해 변경될 수 있사오니
    외래로 확인 후 내원하시면 편리하게 진료 받으실 수 있습니다.

  • Nasaret International Hospital Docter

    최재훈 과장신경과
    전문진료분야

    뇌졸중, 뇌전증, 치매, 두통, 어지러움증, 파킨슨병 및 손떨림 등 이상 운동질환,말초신경 및 근육장애

    구분
    오 전 진료 진료 진료 진료 진료 격주진료
    오 후 진료 순환 휴진 순환 진료
    휴진일정

    진료시간은 진료과장님들의 응급수술이나, 시술로 인해 변경될 수 있사오니
    외래로 확인 후 내원하시면 편리하게 진료 받으실 수 있습니다.

  • Nasaret International Hospital Docter

    이현준 과장신경과
    전문진료분야

     

    말초신경병(손발저림), 뇌졸중,치매, 두통, 어지럼

     

    구분
    오 전 진료 진료 진료 진료 진료 격주진료
    오 후 진료 순환 진료 순환 휴진
    휴진일정
    4월 3일, 4월 24일 ~ 4월 28일

    진료시간은 진료과장님들의 응급수술이나, 시술로 인해 변경될 수 있사오니
    외래로 확인 후 내원하시면 편리하게 진료 받으실 수 있습니다.

  • Nasaret International Hospital Docter

    정태호 과장재활의학과
    전문진료분야

    뇌신경 재활, 척수손상 재활, 근골격계 통증치료 비수술적 오십견 재활치료 , 손목터널 증후군 재활치료 초음파 유도하 주사치료, 스포츠 손상 재활(인대, 건 손상 후 재활치료) 인대증식치료(어깨, 무릎), 체외충격파 치료 재활보조기 처방, 발 클리닉, 체형교정

    *토요일은 진료와 검사가 순환진행됩니다. 토요 진료시에는 전화 확인부탁드립니다 (032-899-9999)

    구분
    오 전 진료 진료 진료 진료 진료 순환
    오 후 진료 진료 진료 진료 진료
    휴진일정

     

    진료시간은 진료과장님들의 응급수술이나, 시술로 인해 변경될 수 있사오니
    외래로 확인 후 내원하시면 편리하게 진료 받으실 수 있습니다.

  • Nasaret International Hospital Docter

    이강일 이사장한방진료부
    전문진료분야

    뇌전증, 혼수, 뇌출혈, 뇌진탕, 중풍, 반신불수, 모야모야병, 졸도, 천식, 기관지확장증, 틱 장애, 체질진료 - 체질감별, 체질한약 처방, 심혈관질환, 중금속 오염증, 간염, 담낭염, 담낭결석, 신결석, 요로결석, 이질, 풍치, 독감, 수전증, 욕창, 종양, 피부병, 여드름, 습진, 알러지성 피부, 오십견, 골다공증, 타박상, 정신신경과 질환 - 화병, 불면증, 우울증, 불안증, 집중력 부족, 공황장애 

     

    구분
    오 전 진료 진료 진료 진료 진료 진료
    오 후 휴진 휴진 휴진 휴진 휴진

    진료시간은 진료과장님들의 응급수술이나, 시술로 인해 변경될 수 있사오니
    외래로 확인 후 내원하시면 편리하게 진료 받으실 수 있습니다.

  • Nasaret International Hospital Docter

    염도성 과장한방진료부
    전문진료분야

    중풍 후유증(반신불수, 언어장애, 운동장애, 인지장애)  근골격계 통증, 교통사고 후유증, 구안와사, 손발저림, 수족냉증, 비만, 피부이상, 소화기 질환, 추나치료

    구분
    오 전 진료 진료 진료 진료 진료 진료
    오 후 진료 진료 진료 진료 진료

    진료시간은 진료과장님들의 응급수술이나, 시술로 인해 변경될 수 있사오니
    외래로 확인 후 내원하시면 편리하게 진료 받으실 수 있습니다.