협심증·심근경색증·고혈압·고지혈증·죽상경화증·부정맥
심장혈관센터는 급성심근경색을 포함한 심혈관 질환의 치료를 위하여
365일 24시간 전문진료체계를 운영합니다. 심장내과 전문의가 심혈관질환의 조기치료,
예방 및 재활까지 심혈관질환 전 주기에 걸쳐 체계적인 서비스를 제공하며,
이를 통하여 심혈관 환자의 사망률과 합병증의 발병을 최소화합니다.
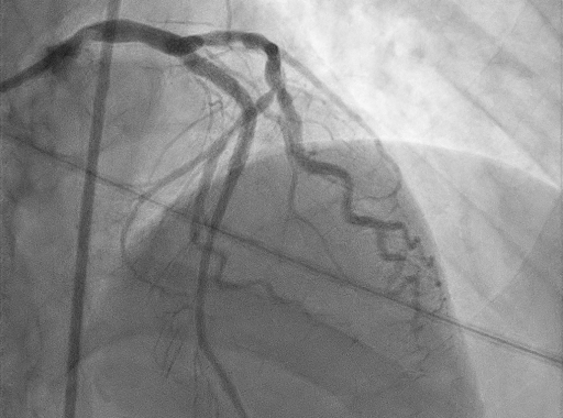
심장혈관 조영술은 요골동맥 또는 대퇴동맥에 가는 도관을 삽입하여 심장에 도달 시킨 뒤
관상동맥에 조영제를 주입하고, X-ray촬영으로 심장혈관을 실시간으로 관찰하는 검사입니다.
혈관질환의 진단 방법 중 가장 직관적인 검사방법으로 현재까지는 가장 정확도가 높습니다.
이 검사에 따라 약물치료, 관상동맥 중재술 등의 치료방침을 결정하게 됩니다.
심장혈관중재시술, 허혈성 심질환(협심증,심근경색),말초혈관질환, 고혈압, 고지혈증, 심부전, 부정맥, 폐동맥고혈압
| 구분 | 월 | 화 | 수 | 목 | 금 | 토 |
|---|---|---|---|---|---|---|
| 오 전 | 진료 | 수술 | 진료 | 진료 | 진료 | 격주진료 |
| 오 후 | 수술 | 진료 | 진료 | 수술 | 수술 |
| 휴진일정 |
|---|
4월 17일 ~ 4월 18일 |
진료시간은 진료과장님들의 응급수술이나, 시술로 인해 변경될 수 있사오니
외래로 확인 후 내원하시면 편리하게 진료 받으실 수 있습니다.
허혈성 심질환 (협심증, 심근경색), 심혈관 중재시술, 심부전, 고혈압, 부정맥
| 구분 | 월 | 화 | 수 | 목 | 금 | 토 |
|---|---|---|---|---|---|---|
| 오 전 | 수술 | 진료 | 진료 | 진료 | 수술 | 격주진료 |
| 오 후 | 진료 | 수술 | 수술 | 진료 | 진료 |
| 휴진일정 |
|---|
3월 2일 |
진료시간은 진료과장님들의 응급수술이나, 시술로 인해 변경될 수 있사오니
외래로 확인 후 내원하시면 편리하게 진료 받으실 수 있습니다.